在今天看見明天
熱門: 月配息etf 勞保退休金 00939 勞保年金試算 存股名單

腎臟水腫最新與熱門精選文章

熱搜關鍵字:腎臟水腫共有2項結果
天氣熱、尿量少養成憋尿惡習...醫師盤點10大傷害排行榜!血尿只排第7,嚴重竟會引發癌症
健康

天氣熱、尿量少養成憋尿惡習...醫師盤點10大傷害排行榜!血尿只排第7,嚴重竟會引發癌症

隨著天氣逐漸高溫悶熱,流汗多、尿量少,使得尿液濃度增高,醫師提醒千萬別憋尿!尤其長時間在炎熱氣候下的工作者更要當心,應多補水。加上不少女性都有憋尿的壞習慣,導致私密處容易被細菌感染、引起膀胱炎。腎臟科醫師洪永祥提醒,長期憋尿不只會讓膀胱缺氧、血液循環變差等狀況,更嚴重會有生命危險和罹患癌症的風險。

日期:2023-04-20

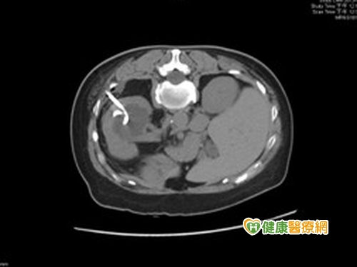
泌尿道結石莫輕忽 病況嚴重恐致死
健康

泌尿道結石莫輕忽 病況嚴重恐致死

一位年近60歲的王姓婦人,日前因慢性咳嗽就醫,結果在進行電腦斷層檢查時,竟發現輸尿管有結石,已將輸尿管阻塞,且合併有嚴重的腎臟水腫;經由泌尿科醫師治療,才將輸尿管結石及管阻塞的問題一次處理好。醫師提醒,泌尿道結石不能放任不管,以免小病成大病,若治療無效時,有相當高的致死率,不得不慎!

日期:2014-04-02