在今天看見明天
熱門: 美股 行事曆 年金 00891 房地產

安南最新與熱門精選文章

熱搜關鍵字:安南共有156項結果
民眾有看沒有懂  反而引發大恐慌 土壤液化釀災?官方潛勢圖兩大謬誤
焦點新聞

民眾有看沒有懂 反而引發大恐慌 土壤液化釀災?官方潛勢圖兩大謬誤

中央地質調查所公布「土壤液化潛勢圖」,原意是讓民眾居安思危,結果卻引發更多疑慮;然而,這份「中央版」的調查報告可信度高嗎?房屋蓋在土壤液化區,到底有沒有危險?

日期:2016-03-24

獨家揭祕》菜市場攤商變百貨股王 隱市富豪  寶雅陳建造
話題人物

獨家揭祕》菜市場攤商變百貨股王 隱市富豪 寶雅陳建造

賣髮夾可以賣到變股王?家族身價高達百億元,卻住在菜市場旁;43歲虧光家產,卻靠著賺女人財逆轉勝;70歲仍熱愛冒險,騎重機、下海潛水、開輕航機飛上天。他的人生與事業,都從菜市場出發,他是寶雅董事長陳建造。

日期:2015-12-17

老翁鼻塞流鼻血 竟罹罕見鼻咽黑色素癌
健康

老翁鼻塞流鼻血 竟罹罕見鼻咽黑色素癌

一名台南71歲的黃先生,日前鼻塞的情形逐漸加劇,右邊鼻涕甚至出現血絲。就診檢查後發現,鼻內視鏡檢查報告顯示,右側鼻咽部有約5公分的巨型黑色腫瘤,隨即施以局部麻醉,並進行右側鼻咽腫瘤切片術,確診後為罕見的「鼻咽黑色素癌」。

日期:2015-12-11

台南新樓醫院在老化趨勢下找到新定位 百年老店磨七年  變身長照桃花源
健康

台南新樓醫院在老化趨勢下找到新定位 百年老店磨七年 變身長照桃花源

台南的年輕人多出外工作,獨留高齡父母在家,長照需求刻不容緩。新樓醫院看到商機,朝老齡長照、癌症防治、社區醫療三方面布局,繼續為鄉親健康把關。

日期:2015-10-15

科學證實有助防止帕金森氏症 打太極拳 讓大腦變年輕
健康

科學證實有助防止帕金森氏症 打太極拳 讓大腦變年輕

打太極拳能延年益壽?這個從古早一直流傳下來的說法,現在已經能以科學研究證明其來有自。中國醫藥大學研究團隊證實,太極拳能活化及提升與細胞年輕化有關的幹細胞數量,對身體也有許多好處,一起來打太極拳延年益壽吧!

日期:2014-06-23

遠離失智症,讓大腦變年輕!研究證實:每天花15分鐘做「一動作」最有力
健康

遠離失智症,讓大腦變年輕!研究證實:每天花15分鐘做「一動作」最有力

打太極拳能延年益壽?這個從古早一直流傳下來的說法,現在已經能以科學研究證明其來有自。中國醫藥大學研究團隊證實,太極拳能活化及提升與細胞年輕化有關的幹細胞數量,對身體也有許多好處,一起來打太極拳延年益壽吧!

日期:2014-06-19

乳癌患者陰道易乾澀 性生活不美滿
健康

乳癌患者陰道易乾澀 性生活不美滿

根據統計,國內約有6至7成5的乳癌患者,是屬於荷爾蒙接受體陽性反應,需要接受抗荷爾蒙治療,以有效抑制癌細胞生長及復發;然而,抗荷爾蒙治療卻會導致患者體內荷爾蒙下降,造成陰道萎縮,而有乾澀、搔癢、灼熱,以及異味分泌物等問題,但是,醫師發現,臨床上,卻僅有3成患者會主動反應不適症狀,多數都選擇隱忍,直到發生感染才就醫,嚴重影響日常生活品質及性生活。

日期:2014-04-21

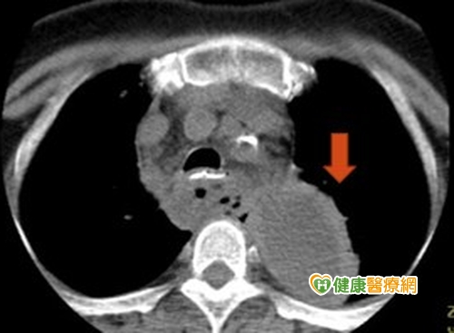
罕見原發性縱隔腔膿瘍 糖尿病患易好發
健康

罕見原發性縱隔腔膿瘍 糖尿病患易好發

1名60歲婦人,原有第二型糖尿病史,因發生輕微車禍後,緊急就醫,起初僅出現左上胸背處疼痛,直到後來合併發燒,才進一步接受檢查,醫師發現胸部影像出現突出腫塊,且約有10公分大小,但食道周圍也無任何破裂情況,確診為罕見的原發性上後縱膈腔膿瘍。

日期:2014-04-07

急性心肌梗塞險猝死 葉克膜救回一命
健康

急性心肌梗塞險猝死 葉克膜救回一命

今年36歲的石先生因連續3天間斷胸悶,而在2月11日下午至台南市立安南醫院心臟內科求診,沒想到在候診時,石先生突然發生急性心肌梗塞而昏倒,且無呼吸與心跳,經院方進行急救並置放葉克膜機器維持生命跡象,同時緊急施行「冠狀動脈整型術」及「心導管支架置放手術」,3個禮拜後,石先生終於順利出院返家。

日期:2014-03-04

前進九大黃金保值區避開八大地雷區
房地產

前進九大黃金保值區避開八大地雷區

奢侈稅上路已將半年,短進短出投資客銷聲匿跡;惟房價依舊看跌不回,在房市交易回歸以自住客為主的基本盤之後,北中南又有哪些超級黃金保值地段,值得想在明年選後大勢底定後進場的購屋族挑選?

日期:2011-12-08